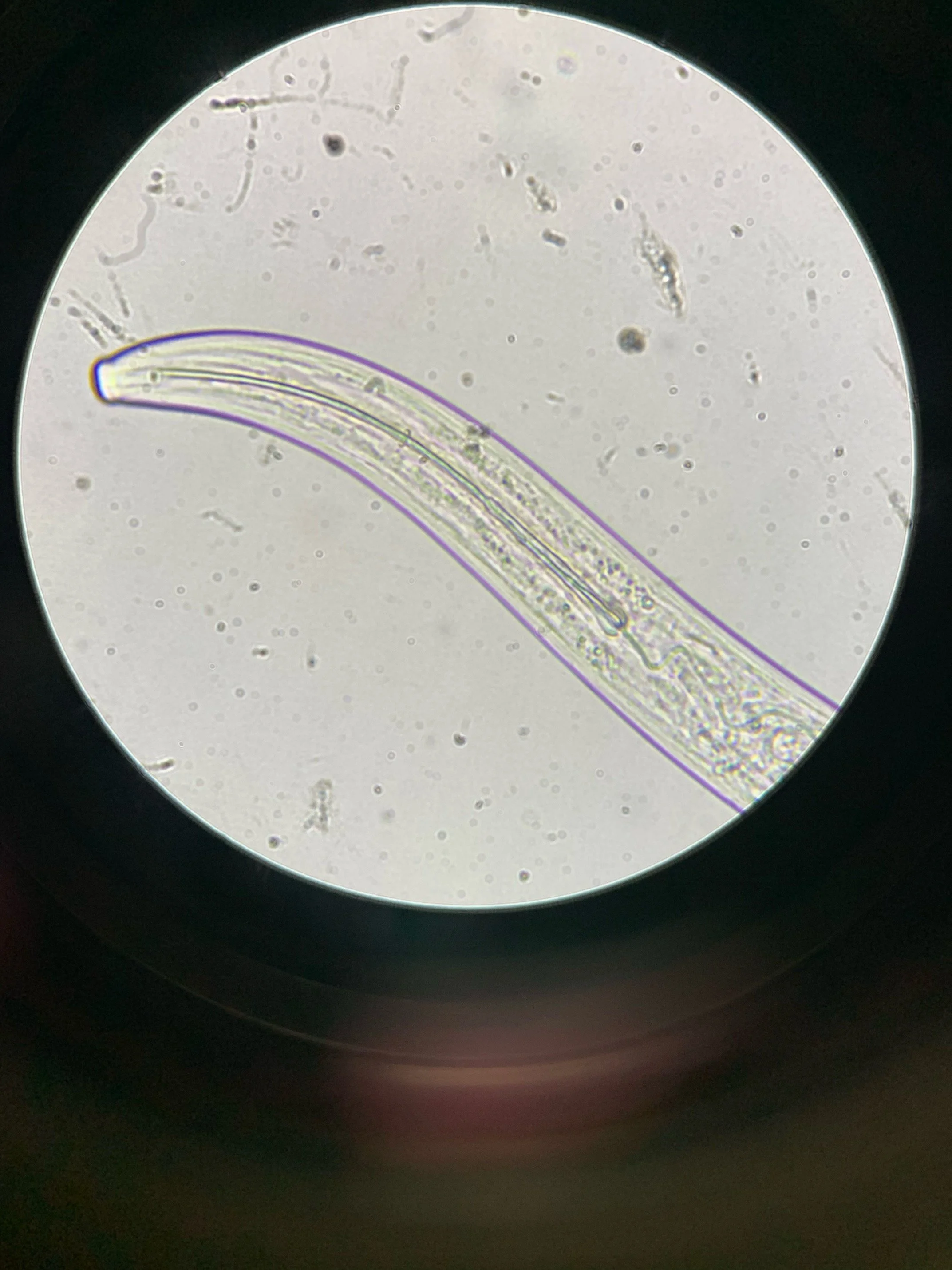
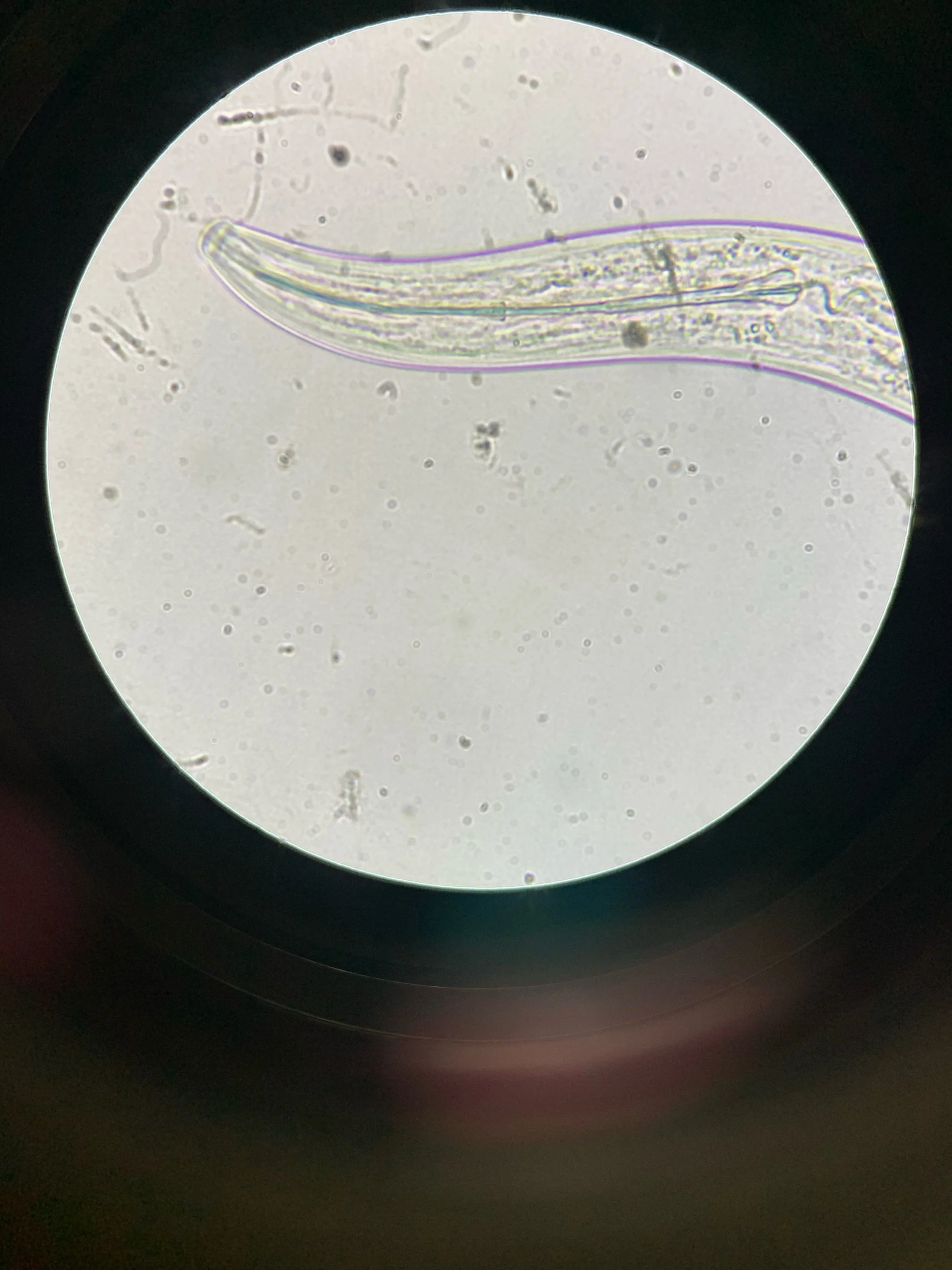
Xiphinema (Dagger)
Xiphinema Body
Xiphinema Head
Xiphinema Head
Xiphinema Body - Female
Xiphinema Body - Female
Xiphinema Body
Xiphinema Head
Xiphinema Head
Xiphinema Body - Female
Xiphinema Body - Female