Gracilacus (Pin)
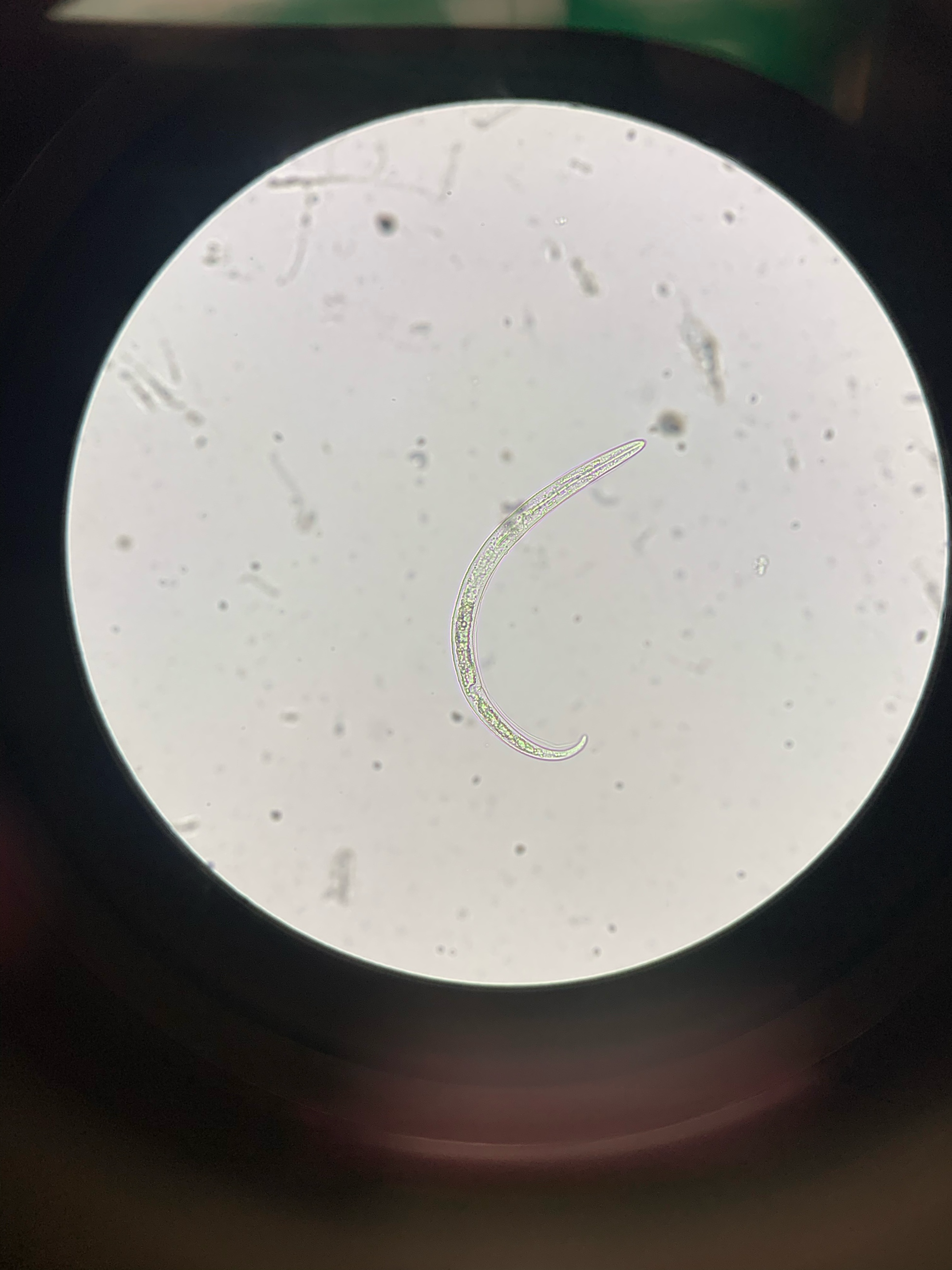
Gracilacus Whole Body
Gracilacus Body - Female
Gracilacus Head - Female
Gracilacus Tail - Female
Gracilacus Whole Body
Gracilacus Body - Female
Gracilacus Head - Female
Gracilacus Tail - Female