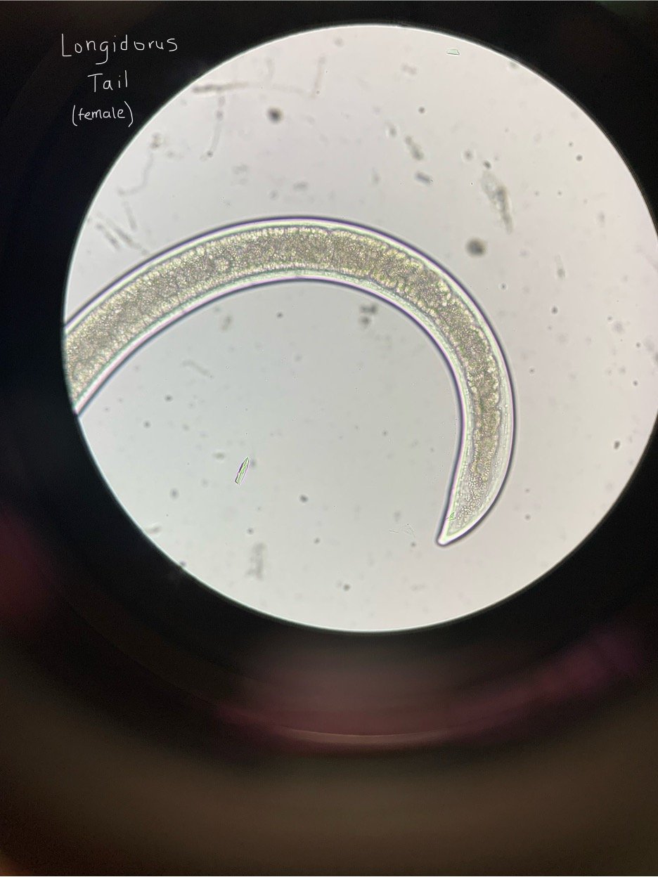
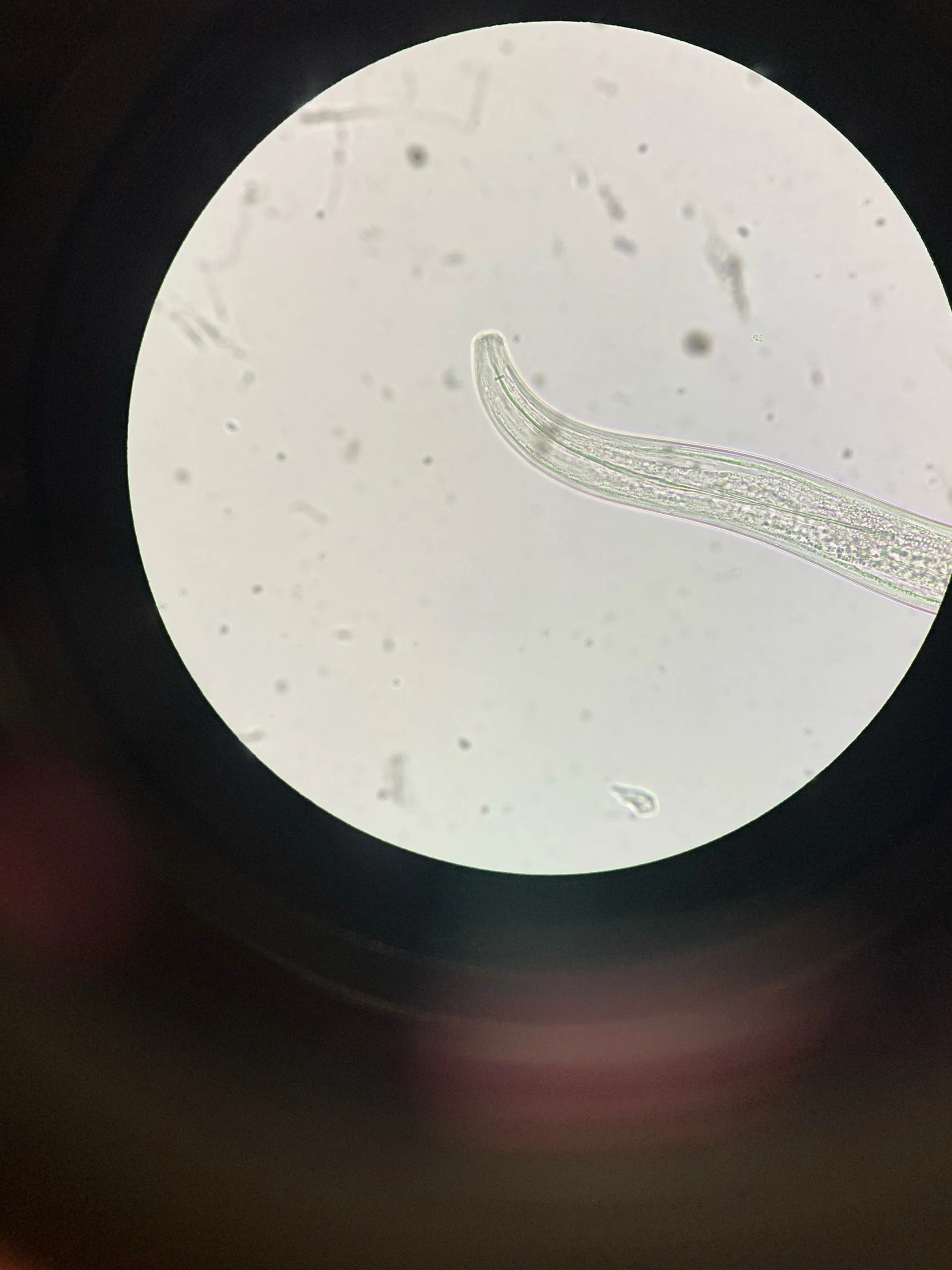
Nemotology ImagesAphelenchoides (Foliar)AphelenchusBelonolaimus (Sting)Bursaphelenchus (Pinewood)Ditylenchus (Stem and Bulb)Dolichodorus (Awl)Gracilacus (Pin)Helicotylenchus (Spiral)Hemicriconemoides (Sheathoid)Heterodera (Cyst)Hoplolaimus (Lance)Longidorus (Needle)Meloidogyne (Root Knot)Mesocriconema (Ring)Pratylenchus (Lesion)Radpholus (Burrowing)Rotylenchulus (Reniform)Scutellonema (Spiral)Tricodorus (Stubby Root)Tylenchorhynchus (Stunt)Tylenchulus (Citrus)TylenchusXiphinema (Dagger) Longidorus Head Longidorus Head - Female Longidorus Tail - Female