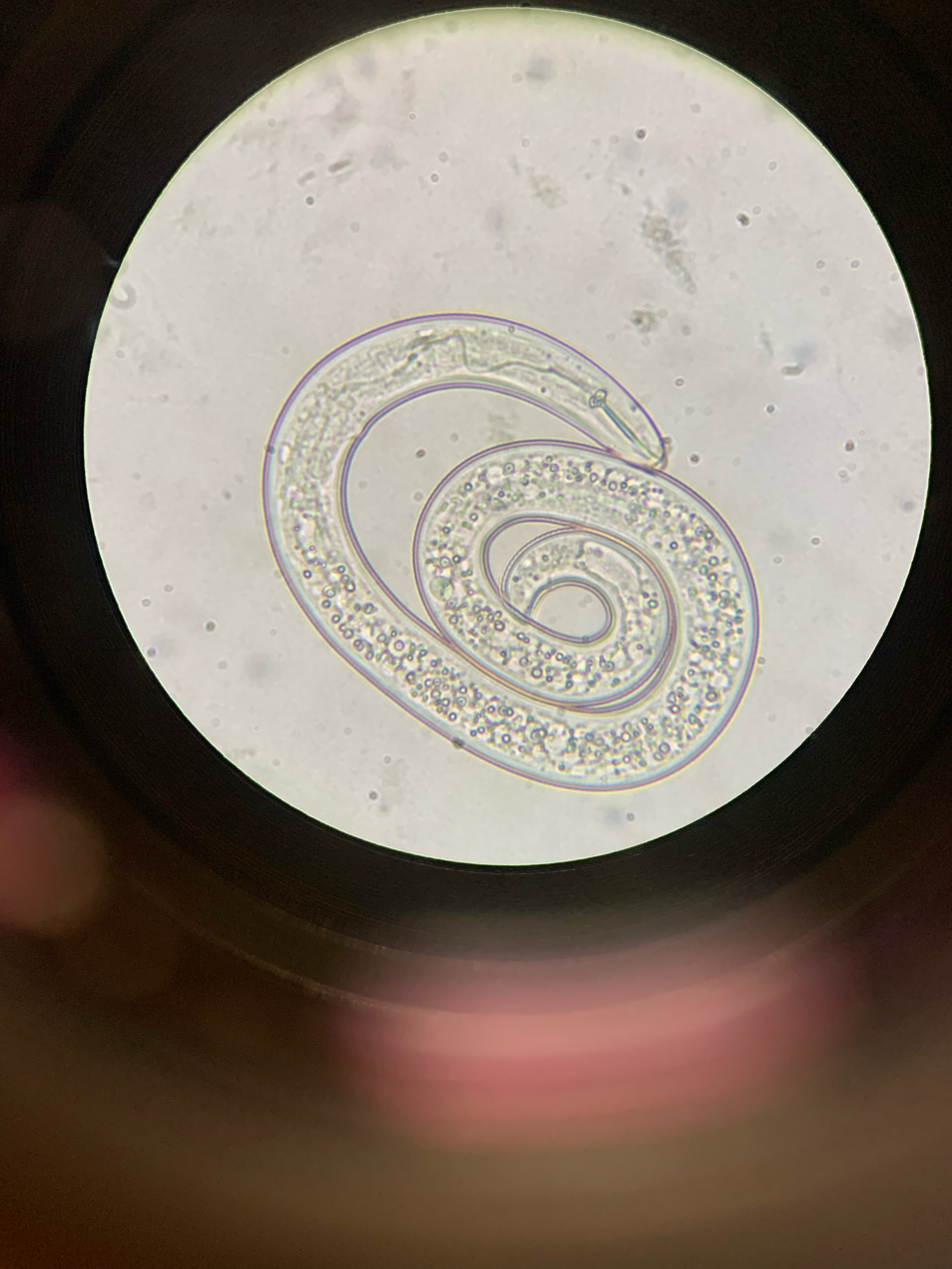
Helicotylenchus (Spiral)
Helicotylenchus Head
Helicotylenchus Head
Helicotylenchus - Female
Helicotylenchus Head
Helicotylenchus Head
Helicotylenchus - Female