Heterodera (Cyst)
Heterodera Juvenile
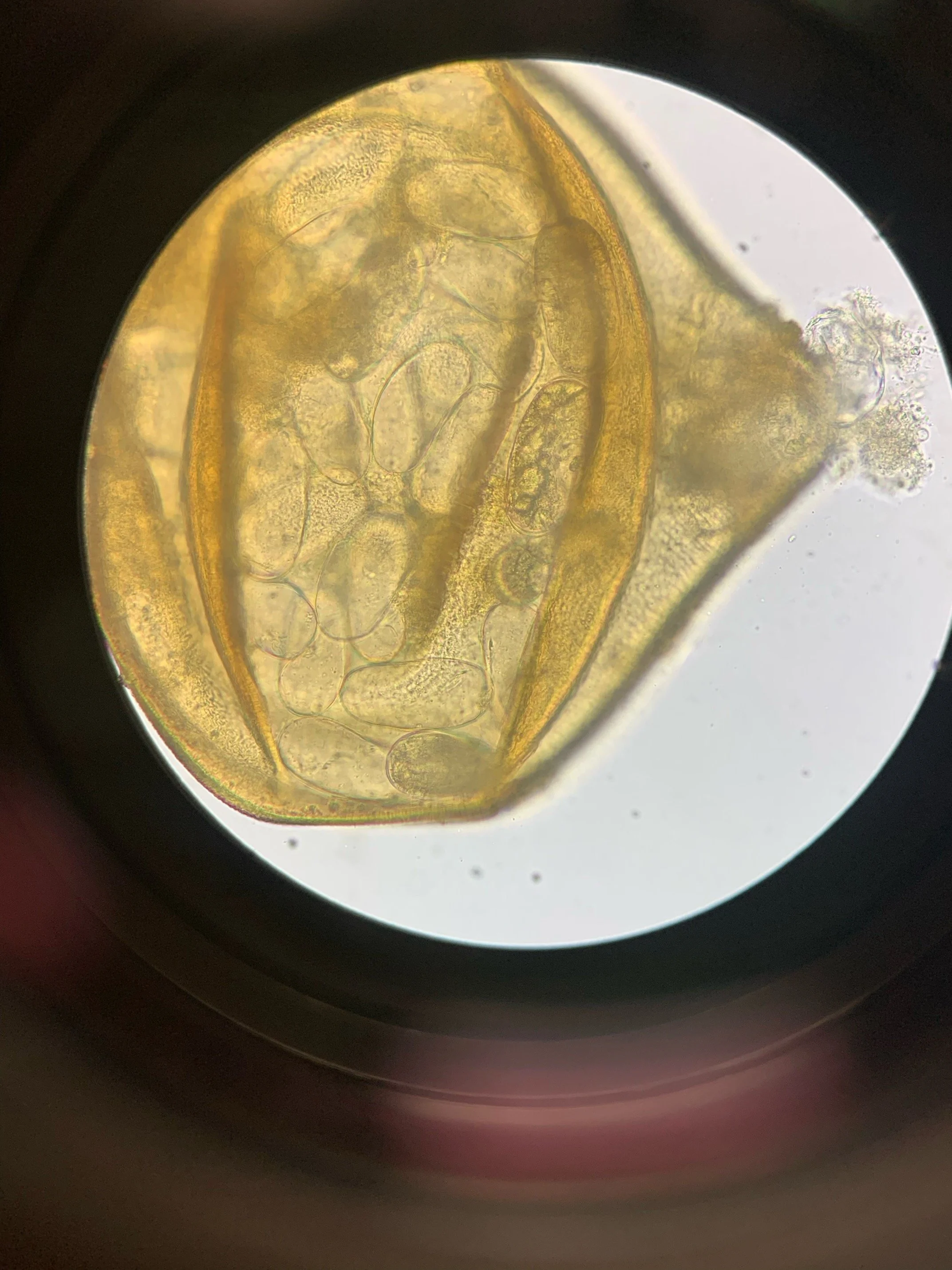
Heterodera Eggs Within Cyst
Heterodera Cyst Eggs
Heterodera Juvenile
Heterodera Eggs Within Cyst
Heterodera Cyst Eggs